|  |  |  | 
|  | ||
Представлена версия документа, предназначенная для печати
Вы можете загрузить эту страницу на сайте
| Batrachochytrium dendrobatidis Longcore Pessier & D.K. Nichols, 1999  | 
Систематическое положение (Kingdom, Phylum, Class, Order, Species):
Fungi » Chytridiomycota » Chytridiomycetes » Rhizophydiales » Batrachochytrium dendrobatidis
 
  
 Русское и английское названия. Грибок-убийца лягушачий, amphibian chytrid fungus
Синонимы. chytrid frog fungus
Нативный ареал. Не установлен. Предположительно - Южная Африка.
Современный ареал (мировой и конкретнее в России). К настоящему времени паразитирующий на земноводных грибок Batrachochytrium dendrobatidis распространен на всех континентах за исключением Антарктиды. Проник практически во все страны Северной и Южной Америк (за исключением Парагвая, Гайаны, Суринама, Гвианы). В Африке обнаружен, главным образом, в южной части континента (Конго, Габон, Кения, ЮАР, Свазиленд, Уганда), в Азии – в Китае, Японии, Индонезии (на о. Ява), Южной Корее, а также в Малайзии (на полуострове Малайзия), Австралии, Новой Зеландии. В Европе впервые выявлен в Испании, теперь известен во многих странах: Испания, Франция, Германия, Англия, Австрия, Бельгия, Голландия, Дания, Италия, Португалия, Швейцария, Финляндия, Греция, Хорватия, Польша, Чехия, Эстония, Словакия, Словения, Венгрия и Румыния (Olson et al., 2013; Balaz et al., 2014 и др.). В 2000-х гг. предпринимались попытки обнаружения B. dendrobatidis на территории России. Диагностике были подвергнуты несколько видов амфибий (Rana temporaria, R. amurensis, Bufo gargarizans, R. dybowskii и Salamandrella schrenkii), однако все пробы оказались отрицательными (Ouellet et al. 2005; Civis et al. 2013). На Среднем Урале на основании внешнего осмотра головастиков было выдвинуто предположение, что повреждения их ротового аппарата могли возникнуть вследствие хитридиомикоза, автор заключил: «Квалифицированная диагностика позволила бы окончательно выяснить географический диапазон Chytridiomycosis. Если это заболевание обнаружено на всех материках, то территория России с большой вероятностью не является исключением» (Трубецкая, 2009; 2011 - дословно повторено в обеих публикациях). Первая достоверно подтвержденная при помощи молекулярных методов находка лягушачьего грибка-убийцы B. dendrobatidis в России была сделана в Московской области при изучении причин массовой гибели головастиков и матаморфизирующих особей серой жабы Bufo bufo (Reshetnikov et al., 2014).
 
 Пути (коридоры) и векторы (способы) интродукции. Наиболее ранняя находка сделана на музейных экземплярах шпорцевых лягушек Xenopus spp., собранных в Африке в 1938 г. Шпорцевые лягушки переносят хитридиомикоз бессимптомно, то есть могут быть носителями этого заболевания. Начиная с 1934 г. эти лягушки в больших количествах экспортировались из Африки по всему миру для научных исследований в области иммунологии и позже – эмбриологии и молекулярной биологии, а также для целей аквариумистики, что предположительно привело к распространению грибка-убийцы. Первый подтвержденный случай хитридиомикоза амфибий установлен для зеленых лягушек Lithobates clamitans, отловленных в 1961 г в Квебеке (Канада) (Weldon et al. 2004). В Европе известен с 1997 года, впервые обнаружен в Испании у жабы-повитухи Alytes obstetricans (Bosch et al., 2001), в последующие годы места находок «продвигались» от страны к стране из западных районов Европейского континента на восток. В водоемах может сохраняться в течение месяцев в отсутствии хозяев (Johnson, Speare, 2005). Не исключено, что зооспоры могут переноситься из водоема в водоем с водой, частицами субстрата или любыми предметами, особенно влажными, такими как рыболовные снасти, а также на пере околоводных птиц (Johnson, Speare, 2005). Исследователи отмечают стремительное продвижение «волны» заболевания. Так скорость распространения возбудителя хитридиомикоза в Коста-Рике Центральной Америке была оценена в 30 км/год, в Австралии – в 100 км/год (Lips et al., 2006; Pounds et al., 2006). Векторами распространения могут быть торговля амфибиями (De Paula et al., 2012) и расселение чужеродных видов земноводных, наиболее успешные из которых (африканская гладкая шпорцевая лягушка Xenopus laevis, американская лягушка-бык Lithobates catesbeianus и жаба-ага Bufo marinus) переносят хитридиомикоз бессимптомно и могут быть носителями этой опасной инфекции (Lawrence, 2008). В России нельзя исключить распространение грибка-убийцы вместе с инвазионным видом земноводных озерной лягушкой Pelophylax ridibundus (Fisher, Garner, 2007). Причина появления B. dendrobatidis в водоемах России не известна.
Местообитание. Стоячие и проточные пресные водоемы. В зараженных водоемах может присутствовать круглогодично, при этом плотность его зооспор в конкретном водоеме может колебаться в течение года от 100 до 3 000 000 зооспор на литр воды (Chestnut et al., 2014).
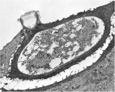
Влияние вида (на другие виды, экосистемы включая лесную и агроценозы, здоровье человека). Заболевание хитридиомикоз, вызываемое лягушачьим грибком-убийцей B. dendrobatidis, обладает высокой контагиозностью и низкой специфичностью: поражает более 500 видов земноводных из отрядов Anura и Caudata (Olson et al., 2013). Грибок развивается в кожных покровах хозяина, питаясь кератином. При этом нарушается электролитический транспорт через эпидермис земноводного, концентрации натрия и калия в клеточной плазме снижаются, гибель животного наступает через несколько дней после заражения из-за остановки сердечных сокращений (Voyles et al., 2009). Поскольку размножение грибка связано с водоемами, заболеванию чаще подвержены водные виды земноводных по сравнению с наземными видами или теми, у которых личиночный период сравнительно короток (Pearl et al., 2007). Некоторые виды амфибий, а также рептилии могут быть носителями инфекции (Kilburn et al., 2011; Miaud et al., 2016). Однако свободноплавающие зооспоры этого грибка уничтожаются зоопланктонными организмами (Daphnia spp.), что может снижать процент зараженных головастиков земноводных (Loyau et al., 2015). B. dendrobatidis опосредованно влияет на наземные экосистемы, поскольку большинство земноводных, подверженных хитридиомикозу, являются компонентами как водных, так и наземных экосистем. Грибок-убийца рассматривается в качестве причины вымирания ряда местных популяций амфибий, а также нескольких эндемичных видов земноводных. В США с распространением этого грибка связывают существенное сокращение популяций жаб и одного вида лягушек Bufo boreas, B. canorus, B. baxtery, Rana mucosa (Pearl et al., 2007). Возможно, послужил причиной вымирания оранжевой жабы Bufo periglenes в Коста Рике, двух видов так называемых заботливых (вынашивают молодь внутри желудка) лягушек Rheobatrachus spp. в Австралии (Daszak et al. 1999). В России ряд земноводных находятся в угрожаемом положении (Кузьмин, 1999), поэтому распространение этого патогена в нашей стране крайне нежелательно.
| Графическое представление перекрывания ниш нативной и инвазионной частей ареалов, а также при сценариях изменения климата | |
| Текущий климат | |
| Нативная часть | Инвазионная часть | 
| 
 | 
 | 
| Графическое представление перекрывания ниш нативной (A) и инвазионной (B) частей ареалов вида, где сиреневый цвет – зона стабильности, розовый цвет – зона расширения, зеленый цвет – зона «неиспользования». Сплошные и пунктирные линии показывают 100% и 90% области доступной среды в нативной (черные линии) и инвазионной (красные линии) частях ареалов, которые использовались для анализа перекрывания ниш. | |
| Сценарии изменения климата | |
| RCP26 | RCP45 | 
| 
 | 
 | 
| RCP60 | RCP85 | 
| 
 | 
 | 
| Графическое представление перекрывания ниш в условиях текущего климата и при сценариях его изменения - (C) RCP26; (D) RCP45; (E) RCP60; (F) RCP85. | |
Литература
Другие ссылки
http://www.spatialepidemiology.net/bd/
http://theworldofrogs.weebly.com/uploads/3/0/6/2/3062899/8103653_orig.jpg?335
http://cisr.ucr.edu/images/chytrid_fungus_frog_01.jpg
| 
 | |
|  |  | 
| Web-портал Инвазионные виды на территории России разработан и поддерживается кабинетом «Биоинформатики и моделирования биологических процессов» ИПЭЭ РАН в рамках выполнения гранта РНФ № 16-14-10323. | |
|  |  | 
| © 2004-. Кабинет "Биоинформатики и моделирования биологических процессов" ИПЭЭ РАН | |